Botanker

Soms adviseert de orthodontist u om één of meerdere botankers te laten plaatsen door de kaakchirurg. Daarmee nemen zijn orthodontische mogelijkheden toe.

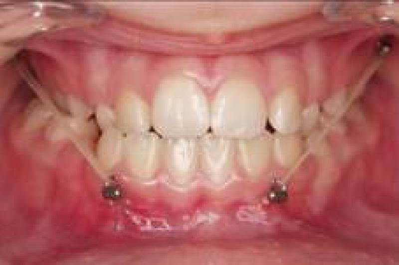
Ook zonder beugel kunnen botankers de groei van de kaak beinvloeden. Dit gebeurt het best tijdens de groeispurt (11-13jaar). Dit kan een efficient en comfortabel alternatief zijn voor een buitenbeugel. De werking ziet u op de foto hieronder.

Botankers worden niet vergoed door Belgische ziekteverzekering.

Meer informatie vindt u op de website van Tita-link 

Botanker