AMSJI

Een AMSJI is een zeer goede oplossing voor mensen zonder tanden in de bovenkaak of onderkaak die te weinig bot hebben om klassieke implantaten te kunnen plaatsen.

De AMSJI bestaat uit 2 op maat gemaakte implantaten (de roze delen) die onder het tandvlees worden geschoven en hogerop de kaak worden vastgezet met schroefjes op plaatsen waar wel voldoende bot is. De beide implantaten worden onderling van links naar rechts verbonden met een baar (grijze deel) waarop tijdens de plaatsing al een tijdelijke vaste brug wordt geplaatst.

A1

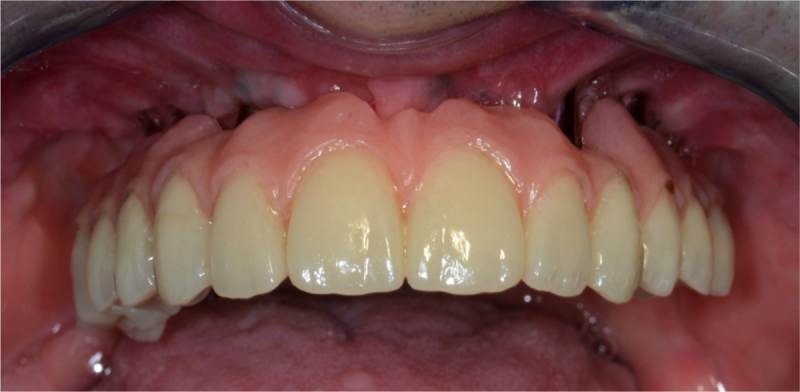
Kortom in 1 ingreep, die ongeveer een uurtje duurt, krijg je niet enkel de implantaten geplaatst maar verlaat je het ziekenhuis ook met tijdelijke vaste tanden.

AMSJI
AMSJI

Met deze tijdelijke vaste tanden mag je de eerste 2 maanden enkel geen al te harde zaken eten. Na 2 maanden zal de eigen tandarts de tijdelijke brug vervangen door een definitieve die nog iets verfijnder en mooier is afgewerkt. 

A4
A5

Als je met je chirurg beslist om voor deze optie te kiezen is het belangrijk dat er in de bovenkaak en/of onderkaak geen tanden meer aanwezig zijn. De eigen tandarts zal een klassieke uitneembare prothese maken waarvan u als patiënt tevreden bent naar vorm en grootte van de tanden toe en die perfect past op de onderste of bovenste tanden. Met deze prothese komt u bij ons in de praktijk en gaan we samen met u naar de dienst radiologie waar een gedetailleerde ct scan wordt gemaakt van uw kaken met de prothese in de mond.

 

Deze data van de scan sturen wij door naar de firma die de amsji voor u op maat vervaardigt.

Hoewel de techniek relatief nieuw is hebben wij al grote ervaring gezien wij één van de eerste in België hiermee gestart zijn. Wij zijn dan ook enthousiast en sommen de voordelen voor u graag op:

  1. Kan bij iedereen met te weinig bot in de bovenkaak en/of onderkaak
  2. Er is dan ook geen bottransplantatie nodig.
  3. Normaal moet je na een bottransplantatie soms 5 maanden wachten alvorens de implantaten kunnen geplaatst worden. Die wachttijd valt nu weg.
  4. Tijdens de ingreep worden ook al onmiddellijk (tijdelijke) vaste tanden geplaatst dus je gaat van niks naar vaste tanden in 1 ingreep.
  5. Weinig nalast en vlot herstel.
  6. Niet duurder dan een behandeling met 6 klassieke implantaten.
  7. Kan zelfs onder lokale verdoving of sedatie. Dit is zeker belangrijk voor oudere patiënten die omwille van gezondheidsredenen geen narcose mogen ondergaan.

Enige nadeel is dat het enkel gaat voor volledige kaken, dus niet ter vervanging van bv 1 of 3 of 5 tanden.

Contacteer onze dienst gerust bij interesse in deze behandeling. Let wel: het is absuluut noodzakelijk dat u een eigen tandarts hebt voor deze behandeling.